Magazin
Warenkorb
Mein öbv
Lädt
Startseite
Digitale Produkte
Unsere Reihen
Digitales Zusatzmaterial
Events
Junglehrer*innen
Schüler*innen
Buchhandel
Hilfe und FAQ
Kontakt
Magazin
Schulformen
Volksschule
Vorschule
Mittelschule
AHS
PTS
BS
HAK/HAS
HUM
HTL
BAFEP/BASOP
Unsere Reihen
/
Big Bang Oberstufe
/
Digitales Zusatzmaterial
Digitales Zusatzmaterial
Big Bang Oberstufe
Wir haben
996
Ergebnisse gefunden
Neueste zuerst
Neueste zuerst
Nach Alphabet
Bild
JPG
Tscherenkow-Strahlung, Foto
Big Bang 8
Bild
JPG
Versuchsreaktor, Foto
Big Bang 8
Bild
JPG
Reaktorunglück von Tschernobyl, Darstellung
Big Bang 8
Bild
JPG
Verstrahlung der Milch in Österreich nach der Tschernobyl Katastrophe, Darstellung
Big Bang 8
Bild
JPG
Kernfusion und Kernspaltung, Darstellung
Big Bang 8
Bild
JPG
Zerfall eines Urankerns, Darstellung
Big Bang 8
Bild
JPG
Lise Meitner und Otto Hahn im Labor (um 1925), Foto
Big Bang 8
Bild
JPG
Ganzkörper-Szintigramm, Foto
Big Bang 8
Bild
JPG
Desoxyribonukleinsäure (DNS), Darstellung
Big Bang 8
Bild
JPG
Verschiebung der Nuklide, Darstellung
Big Bang 8
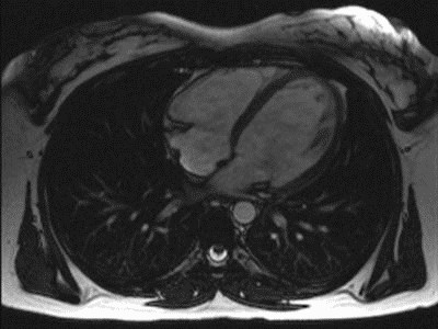
Link
GIF
MRT-Aufnahme eines schlagenden Herzens 2, GIF-Animation
Big Bang 8
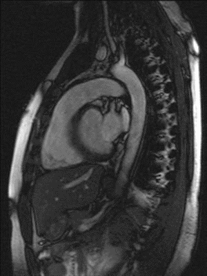
Link
GIF
MRT-Aufnahme eines schlagenden Herzens 1, GIF-Animation
Big Bang 8
Link
GIF
Kiwi mittels MRT, GIF-Animation
Big Bang 8
Link
GIF
Herzschlag im Kernspintomographen, GIF-Animation
Big Bang 8
Dokumentvorlage
PDF
Die spinnen, die Kerne - Artikel
Big Bang 8
Dokumentvorlage
PDF
Das leere Atom, Altlasten der Physik
Big Bang 8
Vorherige Seite
1
...
12
13
14
...
63
Nächste Seite